莫让假期“伤了心”
“双节”来临,市民朋友们即将沉浸在节日的欢乐中,忙着游玩和聚餐。周口市中医院心内一病区医护人员提醒广大市民,暴饮暴食和不规律作息会导致危急重症疾病,尤其是急性心肌梗死、主动脉夹层等心血管疾病的发生率显著上升,因此,假期期间也要注意护心,莫让假期“伤了心”。

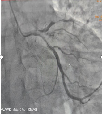
一张心梗造影,血管因堵塞不太清晰。

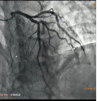
血管疏通后的心肌造影,可见血管清晰许多。
参加聚餐 却心病发作
9月19日,47岁的市民刘先生(化名)与朋友就餐后返回家中,随即出现胸痛、胸闷、汗出,朋友将他送到市中医院急诊科,被初步诊断为急性广泛前壁心肌梗死。此时,刘先生已丧失意识,心室出现颤动。医生立即启动绿色通道,为他进行心肺复苏、心脏电除颤,并为其介入治疗,打通了他闭塞的冠状动脉血管,才使他转危为安。
术后第二天,刘先生恢复意识,已经可以与家人聊天了。他自述,近1个月,他间歇出现心前区及后背部不适,但并未重视,没想到临近假期,参加了几次聚会,居然就发病了。
市中医院心内一病区李斌主任医师介绍,“双节”临近,加上近期气温骤降,医院心血管内科每日都有因急性心肌梗死而到急诊介入治疗手术的病例,且急性心肌梗死发病率是平常的2~3倍。造成这一现象的主要原因是大家在旅游或聚会中,由于心情兴奋及身体劳累,加重心脏负担,导致心肌需氧量突然增加,使心肌短时间内缺血、缺氧,从而诱发急性心肌梗死发生。

心肌梗死的先兆。

心肌梗死的胸痛症状。
心肌梗死患者已呈现成年轻化趋势
李斌介绍,以前提到心梗,大家总会忍不住把它和老人联系起来。实际上,心梗患者正呈现年轻化趋势。据统计,我国发生心梗的患者平均年龄为62岁,但近年来,45岁以下的中青年群体心梗发病率逐年上升。其中,15~29岁、30~44岁年龄组人群发病率分别以年均14.57%与6.40%的比例上升。此外年轻人发生心肌梗死极其凶险,猝死风险极高。
而造成这一现象的主要原因是年轻人的生活习惯不良,其中包括以下4点:
1. 过度劳累
当代年轻人生活与工作的节奏都比较快,经常会因为工作需要而长时间加班,或是晚上应酬、聚会,熬到很晚才回家休息,使身体长期处于无规律且忙碌疲劳的状态。这样一来,很多年轻人的身体都会出现积劳损伤,导致血管压力增大,造成血管痉挛或血液流通不畅,增大心肌梗塞的发病率。
2. 情绪压抑
职场如战场,现代职场竞争激烈,年轻人经常会遇到很多的压力,遭到事业上的打击,如果不能及时调整自己的心理状态,就容易出现紧张、焦虑、烦躁、不安等负面情绪。长期被负面情绪困扰,会导致身体内肾上腺素分泌失调,引起血管收缩过度,使血压上升,诱发心梗。
3. 饮食习惯不健康
很多年轻人在饮食方面不注重健康,经常吃过多的油炸类食物,高热量、高脂肪食物及辛辣、重盐食物。久而久之,身体代谢功能会出现损伤,导致血液中脂肪和杂质成分增多,使血液粘稠度增高,引起血管堵塞。同时,不健康的饮食习惯还会造成身体肥胖,诱发多种慢性并发症,增加冠心病、心梗的发病率。
4.缺乏运动
年轻人多在办公室工作,经常处于久坐状态,缺乏必要的身体活动,而且年轻人平时也很少进行体育锻炼,这就导致很多人的机体免疫力下降,同时出现体型肥胖。当身体运动量不足时,过多的脂肪会在体内囤积,造成血压升高、血脂升高、胆固醇升高,这些因素都会增加患心梗的可能。

患者心肌梗死后应当采取的措施。
心肌梗死症状有哪些,如何应对心梗
李斌介绍,心梗先兆较多,有在夜间或休息时发生胸痛、出现无明显诱因的胸痛、出现突发的心慌憋闷、心绞痛症状加重等。此外,出现牙痛、下颌痛、左肩臂痛、上腹痛、后背痛等与劳累有关的其他部位疼痛时,也可能表示身体出现心梗。
据了解,心梗的症状以胸痛最为常见,但不同人群的症状有所不同。男性急性心梗发作时,大多表现为持续前胸剧痛、身体大汗;女性则表现为放射痛(即在心脏周围区域出现疼痛,如心前区、颈部、咽部、下颌、左肩及左臂内侧、胸骨后侧、上腹部、上胸部、后背肩胛间区等)、恶心(呕吐)、气短、乏力、持续后背痛、持续上腹痛及大小便失禁;老年患者容易出现气短、持续上腹痛等不典型症状。
“一般来说,胸痛超过15分钟,且具有明显的压迫感、压榨感、紧缩感,就要当心可能是心梗发作。”李斌说。
李斌介绍,如果怀疑自己出现心梗,要及时拨打120,卧床休息,保持安静,等待救护车到来,除非了解自己病情,一般不推荐盲目用药,可听从急救电话里医护人员的指导服药。患者也可由家人尽快送至就近的医院,但切不可自己开车,因为一旦发生心跳及呼吸骤停,将造成更大的危险。“冠状动脉血管阻塞后,大约30分钟心肌开始坏死,12小时左右完全坏死,因此一定要及时到医院接受药物溶栓、急诊介入等治疗,不要错过最佳抢救时机。”李斌说。
据介绍,血脂水平高低是心梗、冠心病、心脏性猝死和缺血性脑卒中等疾病发作风险高低的关键因素,由于中国人的胆固醇及血脂水平升高,其发生冠心病后的死亡率增加了77%。因此,建议20岁以上的人群每5年至少测量1次血脂; 40岁以上男性和绝经后的女性每年都测量一次血脂;缺血性心血管疾病患者及其他高危人群应每3~6个月测量1次血脂。
科室简介:
周口市中医院心病一病区位于医院5号楼15楼,病房条件优越,空气洁净、环境优雅、光线充沛、视野开阔,各个房间均有空调及独立的卫生间。科室拥有一批梯队结构合理的高素质人才队伍,具备独立行急诊冠脉造影及冠脉支架植入的能力。该科室实行24小时值班制度,保证急性胸痛患者在确诊急性心肌梗死后能第一时间得到救治。此外,该科室不断优化流程,缩短患者从进医院大门到血管得到打通的时间,使急性心肌梗死救治成功率有了大幅度提高,尤其在IABP支持下,抢救成功率可达98%以上。科室同时配备重症患者观察室,为患者的生命健康打造出了一条“绿色通道”。
周口市中医院急诊科拥有一支急救意识强、技术过硬、经验丰富、设备精良的急救队伍。该科室以急危重症救治为技术特色,形成了“院前急救-院内急诊-急危重症监护”三位一体的急诊医疗服务体系。该科室在应对各种突发心脏病、昏迷、多发伤、呼吸困难以及各类危急重症等疾病方面积累了丰富经验。该科室以高效的预检分诊流程、精湛的医疗技术、人性化的服务理念为百姓的健康保驾护航。
24小时急救胸痛电话:0394-826000,0394-8262896。
(郑伟元)
