第08版:国内新闻
 
 
 
2010年2月8日 星期
下一篇 4  
放大 缩小 默认
全国2/3城市面临垃圾围城
北京郊外垃圾 据网络图片合成 据新华社电 由中国产业报协会和中国环境报道网联合评选的2009年全国生态文明建设十大负面事件日前揭晓,包括重金属污染、环境污染、矿山滥采、极端干旱、职业病等事件。进一步向公众敲响了环境保护的警钟。
成都沙尘天气

  十大负面事件

  重金属污染事件频发

  4地儿童血铅“疑似超标”

  2009年8月,湖南武冈市发生了因企业污染造成儿童血铅超标的事件,354名儿童血铅“疑似超标”。几乎在同一时间,陕西凤翔县因东岭冶炼公司铅排放超标,有数百名儿童血铅超标。而同年发生的湖南浏阳镉污染事件已造成了两人死亡、500余人尿镉超标,厂区周边土壤、农田、林地等被污染。2009年12月下旬,广东清远市出现数十名儿童被集体查出铅中毒。

  江苏盐城水污染事件

  责任人以“投毒罪”论处

  2009年2月20日上午,由于给市区供水的城西水厂、越河水厂受到挥发酚类化合物污染,江苏省盐城市区发生大范围断水。8月14日,污染源标新化工厂法人代表胡文标和生产厂长丁月生因犯“投放危险物质罪”分别被判刑11年和6年。这是国内第一次以“投毒罪”判处排污企业的责任人。

  南方出现罕见浮尘天气

  成都天空被黄色笼罩4天

  春夏季节北方一些城市时常遭遇沙尘暴侵袭,但南方并不多见。2009年4月24日午后,四川省成都市区出现了罕见的浮尘天气,整个天空被黄色笼罩,能见度骤然降低。此次沙尘天气是受北方强沙尘暴影响所致,API(空气污染指数)高达500,持续时间长达4天。

  赤峰市发生自来水污染事件

  千余市民出现腹泻等症状

  2009年7月24日,内蒙古赤峰市千余市民在饮用自来水后出现腹泻、呕吐、头晕、发热等症状。7月27日晚,赤峰市建委通报,污染事件为暴雨污水引发水源污染所致,并就此事致歉。

  矿山开采造成山体严重毁坏

  距天安门35公里处发生泥石流

  以牺牲环境为代价获取的金山银山,往往带来的是自然灾难和不可逆转的生态破坏。环绕北京市房山区青龙湖镇的群山,距天安门直线距离不到35公里,此地因长期无序开山采石,导致了山体遭到严重破坏,泥石流时有发生。类似问题在全国还有很多。

  生态破坏事件时有发生

  洛阳风景区林木遭砍伐“管不了”

  河南省洛阳市万山湖风景区的林木,近年来连续多次遭非法砍伐,造成山林大面积被毁,地质环境严重破坏。业主多次向当地政府和有关部门报案,但问题至今没得到妥善解决。

  极端干旱带来巨大经济损失

  每年我国损失达1000多亿元

  2009年,我国很多地方遭遇了严重的旱灾。中国气象局有关专家称,除了3月份,2009年的任何一个月,全国至少有一个区域出现明显的干旱,此起彼伏的干旱贯穿了全年灾害的始终。据有关专家介绍,上世纪70年代以来,干旱每年给我国造成1000多亿元的损失。

  偃师危险化学品爆炸事故影响大

  当班操作人员7人死亡

  2009年7月15日,位于河南省偃师市的洛染股份有限公司发生一起严重爆炸事故,造成当班操作人员7人死亡、9人受伤,另有附近108名居民被爆炸冲击波震碎的玻璃划伤,造成严重的社会影响。为此,国家安全生产监督管理总局专门就此事故下发了通报。

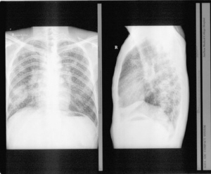
  职业病再度引起社会关注

  农民工“开胸验肺”证明自己

  尘肺,是在职业活动中长期吸入生产性粉尘(灰尘)引起的疾病。河南新密农民工张海超怀疑自己在工厂得了尘肺,先后被多家权威医院确诊,但在(尘肺)职业病法定诊断机构——郑州市职业病防治所看病时,却被诊断为肺结核。多方求诉无效后,2009年6月22日张海超做出惊人之举,他到郑大一附院做了开胸手术,以证明自己确实患的是尘肺,不是肺结核。

  中国垃圾仅六成能做无害化处理

  垃圾堆存累计占地5亿平方米

  据有关部门统计,中国每年产生垃圾近1.6亿吨,城市人均垃圾年产量440公斤,且以每年超过10%的速度增长,其中能够进行无害化处理的占66%,近1/3垃圾只能进行简单填埋,全国600座城市已堆放或填埋各类垃圾80亿吨,垃圾堆存累计侵占土地5亿平方米,有2/3城市被垃圾群包围。

  2009年全国生态文明建设十大负面事件评出  再敲环保警钟

  镉污染致辣椒畸变 

  尘肺影像透视

下一篇 4  
放大 缩小 默认
 
本网站所刊登的各种新闻﹑专题、专栏等信息资料,均为中华龙都网版权所有,未经中华龙都网授权,请勿转载或建立镜像。
  Copyright © 2000-2006 Www . zhld .com All Rights Reserved.
   第01版:要闻
   第02版:时政要闻
   第03版:周口/综合
   第04版:周口/社会
   第05版:周口/民生
   第06版:周口/便民
   第07版:今日关注
   第08版:国内新闻
   第09版:国际看点
   第10版:体育新闻
   第11版:文娱新闻
   第12版:心灵驿站
   第13版:医疗保健
   第14版:亲子空间
   第15版:地产/家居
   第16版:好吃好喝
全国2/3城市面临垃圾围城
“被”:国内字榜首
文强案一审 昨天凌晨结束
郑西高铁
部分列车晚点停运
铁道部
首次回应“爬窗事件”
二代身份证
被指有4处语病
南昌四星级酒店爆破