第18版:心灵视窗
 
 
 
2014年4月25日 星期
3 上一篇  
放大 缩小 默认
眼部整形美容小知识

  随着人们生活水平提高,人们对美的认识及渴求越来越高,眼为五官之首,一双灵动的眼睛,会使你熠熠生辉。多年来我院美容科开展了多种眼部美容整形手术:双眼皮手术包括经典切开法,小切口(单一切口,两切口或三切口)法,埋线法或缝线法;眼睑松弛手术矫正包括眼睑切口,眉下切口或眉上切口;眉下垂矫正;眼袋手术包括外切口或内切口,内眦赘皮手术即开眼角,小睑裂综合征手术治疗;上睑下垂手术包括先天性或后天性,后天性上睑下垂有许多类比如外伤性、老年性、神经元性等需要手术治疗;各类先天性或后天性眼睑缺埙、眼睑畸形的手术矫正,眼睑黄色瘤手术切除;各类眼睑内翻或外翻手术矫正等。

  我院拥有专业的医疗团队,具有多年的眼睑美容手术经验,做眼部美容手术我们最专业。从粗糙到精致,从遗憾到完美,看似漫长的距离,只需你鼓起渴求美丽的勇气。爱美的人们,我们敬候你的光临。

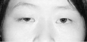
  术前

  术后

  双眼皮

  术前

  术后

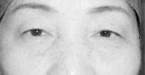
  眼睑松弛

  术前

  术后

  眼袋外切口

  术前

  术后

  上睑下垂

  术前

  术后

  黄色瘤

  术前

  术后

  眼袋内切口

  医讯

  周口市眼科医院引进国际最先进的美国博士伦准分子激光治疗机及多种智能化眼部检查设备,开展最先进的个性化设计的多种准分子激光手术,依托眼病专科技术优势,由具有16年数万例准分子激光治疗近视成功经验的国内一流屈光手术专家及其技术团队全程医疗保障。治疗近视到周口市眼科医院是您明智而正确的选择。地址:周口市八一路南段新建路眼科医院四楼  电话:8393967(节假日照常上班)

3 上一篇  
放大 缩小 默认
 
本网站所刊登的各种新闻﹑专题、专栏等信息资料,均为中华龙都网版权所有,未经中华龙都网授权,请勿转载或建立镜像。
  Copyright © 2000-2006 Www . zhld .com All Rights Reserved.
   第01版:要闻
   第02版:知行群众路线 贯彻周口方略
   第03版:时政要闻
   第04版:城事/广告
   第05版:便民
   第06版:综合新闻
   第07版:特别报道
   第08版:特别报道
   第09版:国际综览
   第10版:国际综览
   第11版:国际深读
   第12版:文娱新闻
   第13版:体育新闻
   第14版:红尘情爱
   第15版:新 知
   第16版:广 告
   第17版:健康生活
   第18版:心灵视窗
   第19版:传染病救治
   第20版:为您服务
   第21版:亲子/空间
   第22版:心理/人际
   第23版:健康/养生
   第24版:她/健康
眼部美容整形
手术前后注意事项
眼部整形美容小知识