来源:新周口客户端
2020-06-13
周口日报·新周口客户端记者 张蕾
恶性肿瘤是目前引起人类死亡的主要原因之一,其发生、发展都是从基因突变开始,经过代谢异常、功能异常、结构异常,最后到临床出现症状,从发生到发展要经过一个相当长的时间,一般10~15年左右,当临床出现症状发现肿块时,大多数患者已是肿瘤中晚期,往往错过了最佳治疗时机。
PET/CT(音译为派特CT),中文名称为正电子发射型计算机断层显像,是PET和CT两台设备融合一起的新型高端医学影像检查设备,它既具有PET(核医学)早期发现机体代谢异常的能力,又综合了CT(影像学)在空间分辨率上高清晰度的特性,可以说是集两大技术优势于一身的“复合型机器”,但它不是二者功能的简单叠加,而是PET与CT两种检查优势互补,可谓是“1+1>2”。

图1 周口市中心医院PET/CT设备,检查过程中无创、无痛,检查时间约15分钟。能够将肿瘤的检查、预测、疗效评估等提升到分子层面,从而在萌芽状态发现肿瘤。
高科技的PET/CT已经为我们早期发现肿瘤及肿瘤远处转移提供了现代化的手段,远在没有出现临床症状之前(亚临床期)就能捕捉到肿瘤病灶的早期改变,使肿瘤疾病发现事件提前约1年以上,为肿瘤患者贏得了宝贵的治疗时间和临床治愈的机会。PET/CT检查特点如下:
1、协助诊断
(1)对肿瘤高危人群,早期发现或排除肿瘤;
(2)对肿瘤标志物高或副肿瘤综合征患者,寻找肿瘤病灶所在;
(3)对已发现可疑病变者,鉴别肿瘤良、恶性;
(4)对已发现肿瘤转移者,寻找原发灶。

图2 男,77岁,CT检查发现左肺上叶结节(两枚),建议随访
行PET/CT示:较大的结节呈高代谢,考虑肺癌;另一枚结节未见糖代谢异常,考虑良性病变。手术切除左肺上叶,术后病理:两个结节分别为腺癌和淋巴组织反应增生。

图3 女,71岁,体检发现肿瘤标志物(CEA)明显升高,为查找原因,行PET/CT示:右侧甲状腺糖代谢异常增高的占位病变,考虑恶性肿瘤,全身其他部位未见肿瘤病灶。术后病理:右侧甲状腺乳头状癌。

图4 男,62岁,发现左侧颈部肿物3月,无不适,穿刺活检病理:转移性鳞癌
为查找原发灶,行PET-CT检查示 食管中段癌
2、指导治疗
(1)对恶性肿瘤患者,进行更准确分期,全面了解全身有无转移情况;
(2)肿瘤恶性程度分级和预后判断;
(3)指导放疗计划靶区的设定。

图5 男,61岁,确诊左肺鳞癌,术前行PET/CT示:左肺上叶肺癌伴纵膈淋巴结转移、右侧肾上腺转移、左侧股骨转移。

CT PET/CT
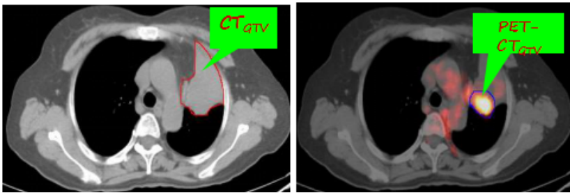
图6,男65岁,确诊左肺鳞癌,放疗前行PET/CT示肿瘤组织主要位于病变后部高代谢区,其余软组织部分为肺不张,为精准放疗提供依据。
3、疗效评估和复发监测
(1)肿瘤治疗效果的评估;肿瘤复发的监测;
(2)肿瘤治疗后标志物仍高或重新升高,寻找残存、复发或转移病灶;
(3)肿瘤残存病灶与坏死、纤维化组织的鉴别;

图7 女,49岁,卵巢癌术后2年余,CA125升高1个月,彩超、CT、磁共振检查均未见明确转移征象。行PET/CT检查示:卵巢癌术后复发伴左侧腹腔内种植转移。

图8:全身PET显像:淋巴瘤疗效评价,4疗程化疗后全身病变基本消失,6疗程结束后双侧颈部淋巴瘤复发。
PET/CT检查安全吗?
PET/CT是一项安全、无创的检查。患者在检查过程中会受到少量的电离辐射,包括注射的少量放射性药物的照射和CT的X线照射。
辐射是不是有害?
只有足够强度的辐射,才可能对人体健康造成伤害。
这几个例子可以让大家对辐射强度有一个感性的认识:
人体受到的天然本底辐射/年:2.4-8.0 mSv(辐射剂量单位);
胸部CT/次:5.0-8.0 mSv;
PET/CT检查放射性药物产生的辐射剂量/次:3.8-6.2 mSv;
核医学科医护人员受到的辐射上限/年:50mSv。
一次PET扫描,放射性药物产生的辐射剂量与一次胸部CT大致相当,不会对身体造成伤害。
[责任编辑:袁甜甜]
中华龙都网版权所有,未经授权不得转载